أخبار الخليج

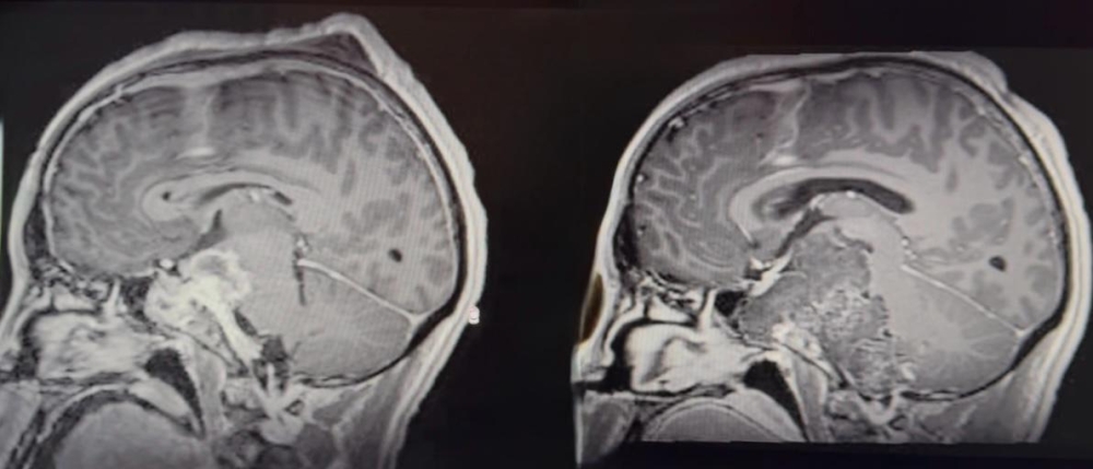
جدة.. استئصال ورم حبلي نادر من قاع جمجمة مريض خلال 35 ساعة

جدة.. استئصال ورم حبلي نادر من قاع جمجمة مريض خلال 35 ساعة

«نبض الخليج»  


فريق سعودي متخصص في مستشفى الملك فهد في جدة – عضو تجمع الصحة الثاني لجدة – في القضاء على ورم حبل نادر ومعقم من الجزء السفلي من الجمجمة ، خلال ثلاث عمليات جراحية متتالية امتدت 35 ساعة ، والتي وضعت الفريق في نخبة المراكز القليلة على مستوى العالم التي تؤدي هذا النوع من العمليات الخطرة والمعقدة." الهدف ="_فارغ"> الفريق الجراحي." الهدف ="_فارغ"> المراكز الطبية المرجع في جميع أنحاء العالم. />
ضم الفريق مجموعة من الأطباء المقيمين الذين تم تدريبهم في الزمالة السعودية لجراحة الأعصاب ، من بينهم الدكتور عبد العزيز باسارا ، الدكتور ديما الأسهلي ، الدكتورة مريم أناني ، الدكتورة زياد العزانية ، إلى جانب فريق التخدير المتميز الذي يقوده الدكتور زاكاريا شاوكي والدكتور أحمد حليلي ، ومرضى تشرب. -متيري والممرضات الصغيرة توماس.

للمزيد: تابع موقع نبض الخليج ، وللتواصل الاجتماعي تابعنا علي فيسبوك وتويتر

مصدر المعلومات والصور : شبكة المعلومات الدولية

منشورات ذات صلة

عاجل: أمين الأمم المتحدة: أشكر السعودية وفرنسا لتنظيمهما مؤتمر حل الدولتين

محرر الخليج

البحرين : البحرين تشيد بجهود وساطة الإمارات بين روسيا وأوكرانيا لتبادل 168 أسيرًا

محرر الخليج

البحرين : «الإسكان» تطرح مناقصة لتطوير 128 شقة بأم الحصم

محرر الخليج

This website uses cookies to improve your experience. We'll assume you're ok with this, but you can opt-out if you wish. Accept Read More